
入れ歯の種類
| バネの見えない入れ歯 |
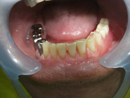
 |
▼バネの見えない入れ歯
従来、歯を失って入れ歯になると、入れ歯を動かないように固定する為に、金属のバネを歯に引っかけていました。
しかし、審美的な点から、笑ったりすると、金属のバネが見えることで悩む方が多いのが現実です。
さらに従来の入れ歯は素材の特性により、硬く、ガタガタ揺れて擦れたり、強く当たると歯茎が痛くなる問題点も多いのです。
そこで、金属のバネを用いずに審美性を考慮し、かつ、痛くなく、丈夫で柔軟性のある素材を用いた画期的な入れ歯が開発されました。金属のバネの代わりには、アレルギーも少なく、薄くて丈夫な素材を用いています。また歯茎の色に近いので見た目もあまりわかりません。色々な形の入れ歯にも応用ができます。今まで、入れ歯はみっともないというイメージを一新させる入れ歯です。
但し、歯の動揺が著しい症例には適さない場合があります。詳しくは歯科医師にご相談下さい。
※その他金属のバネが見えなく、しっかりフィットする入れ歯としては、セラッミクスの白い歯を利用して入れ歯を機関車の連結器や鍵と鍵穴のように連結する方法や磁石を用いる方法など色々あります。詳しくは歯科医師にご相談下さい。